

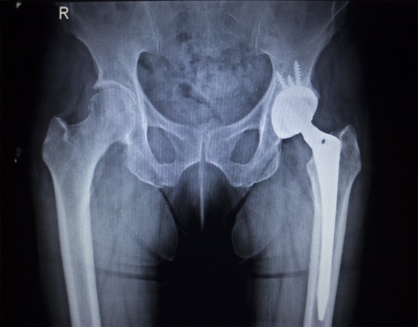
La prótesis de cadera es la sustitución de la articulación dañada de cadera por una articulación artificial. Puede ser total, parcial, así como recambio protésico.
Con la edad, las articulaciones se desgastan y eso provoca que no puedas realizar las tareas cotidianas del día a día por el dolor o incapacidad. Cuando ya se han probado otros tratamientos como medicación, fisioterapia y otras cirugías, y no se han aliviado las molestias, es el momento de pensar en una prótesis.
En que consiste y las posibilidades de la cirugía protésica?
En este tipo de intervenciones se reemplaza unas superficies articulares dañadas de la cadera (fémur y pelvis ) por otras superficies artificiales.
Esta cirugía se realiza con anestesia raquídea o locoregional de piernas hacia abajo, dependiendo de cada caso. La duración puede rondar entre 40 y 60 minutos, según los casos. El ingreso en el hospital tiene tiene una duración media de 3-4 días, dependiendo de la intervención.

Esta técnica fue diseñada con el objetivo de perfeccionar la colocación anatómica y alineamiento de los implantes protésicos mediante un sistema de telenavegación tridimensional.
Con este sistema de alta precisión, y con la ayuda de sistemas informáticos, el cirujano es capaz de perfeccionar la colocación de la prótesis obteniendo una mayor estabilidad osteoligamentosa.
Esta técnica sirve para las prótesis tanto de rodilla como de cadera, es 100% recomendable ya que permite a los especialistas tener la máxima precisión durante la cirugía.
